Zum Hauptinhalt springen
Home
Service
Unsere Arbeiten
Produkte
Implantate
Ganzheitlicher Zahnersatz
Kombi-Arbeiten
Galerien
Kronen, Brücken, Inlays, Veneers
Zirkonfront
Teleskope, Riegel, Geschiebe, Schrauben
Implantate
weitere Galerien
Über mich
Links
Sie sind hier:
Dengel Dental
Galerien
Galerien einzeln
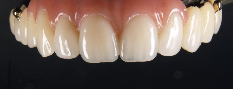
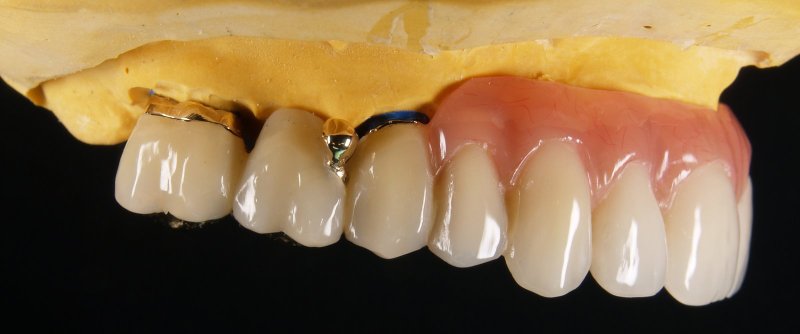
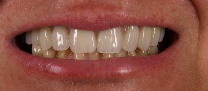
Lebensqualität mit Teleskopen Arbeitsstudie
Lebensqualität mit Teleskopen Arbeitsstudie