Zum Hauptinhalt springen
Home
Service
Unsere Arbeiten
Produkte
Implantate
Ganzheitlicher Zahnersatz
Kombi-Arbeiten
Galerien
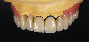
Kronen, Brücken, Inlays, Veneers
Zirkonfront
Teleskope, Riegel, Geschiebe, Schrauben
(current)
Implantate
weitere Galerien
Über mich
Links
Sie sind hier:
Dengel Dental
Galerien
Teleskope, Riegel, Geschiebe, Schrauben
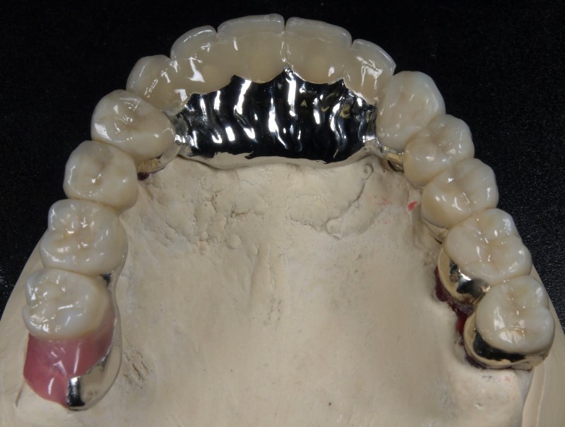
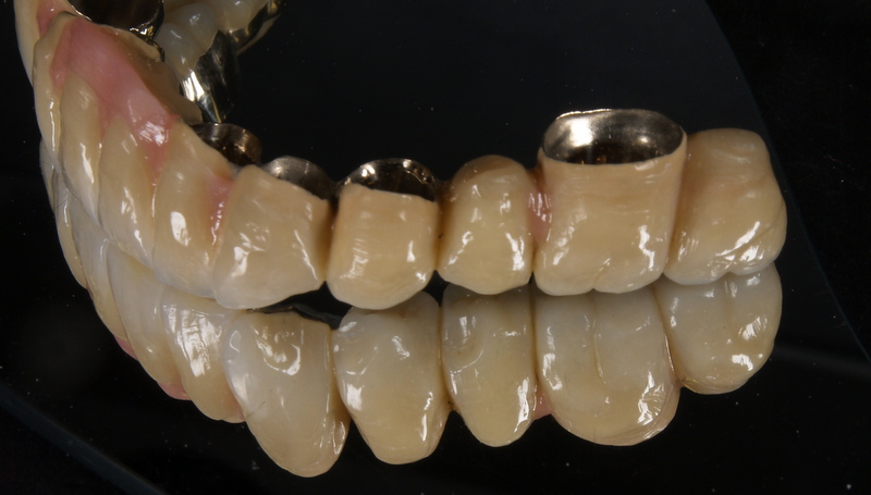
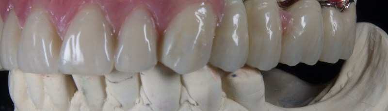
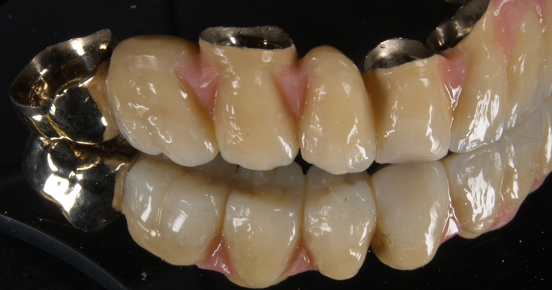
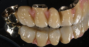
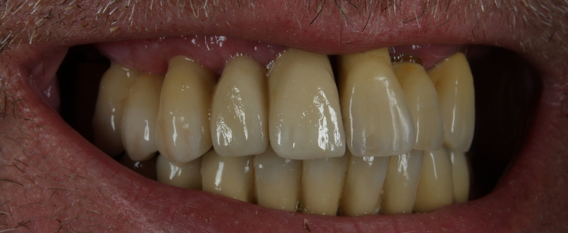
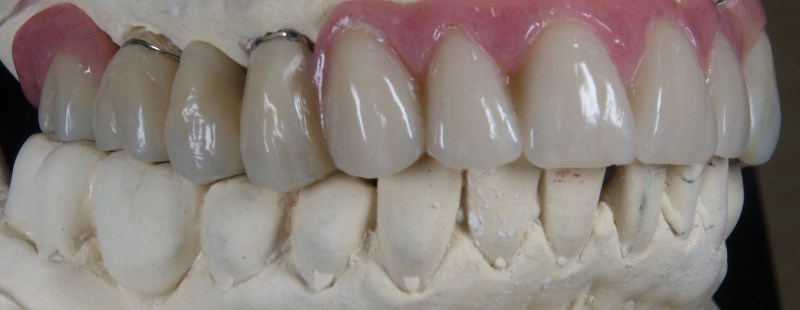
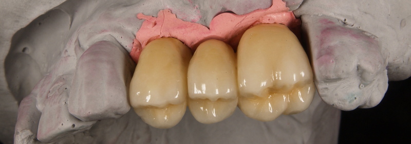
Teleskoparbeit
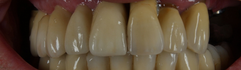
Teleskope Transversalbügelfrei aus Gold
Teleskope Transversalbügelfrei
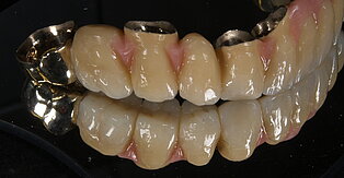
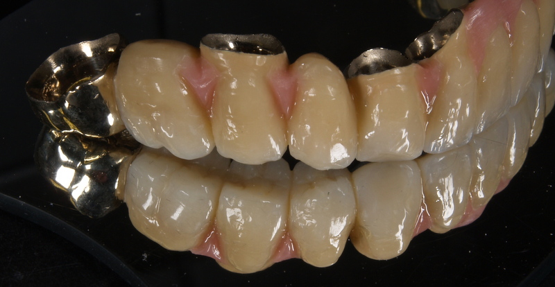
Teleskope in Gold
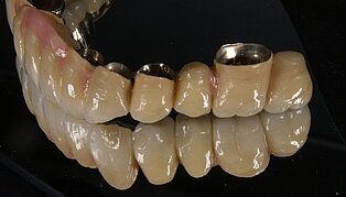
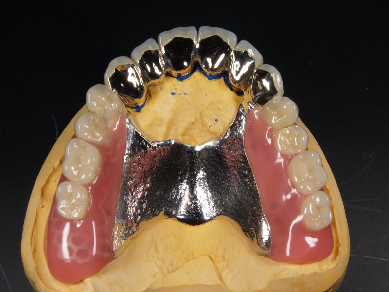
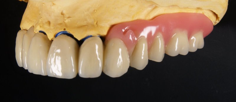
Geschiebe NEM
Geschiebe, Schrauben, Implantate
Schrauben okk und pal
Schrauben und Geschiebe