Zum Hauptinhalt springen
Home
Service
Unsere Arbeiten
Produkte
Implantate
Ganzheitlicher Zahnersatz
Kombi-Arbeiten
Galerien
Kronen, Brücken, Inlays, Veneers
Zirkonfront
Teleskope, Riegel, Geschiebe, Schrauben
Implantate
(current)
weitere Galerien
Über mich
Links
Sie sind hier:
Dengel Dental
Galerien
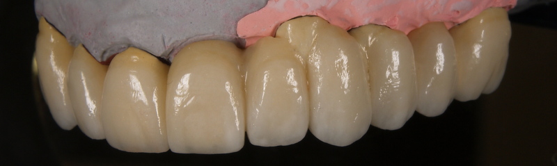
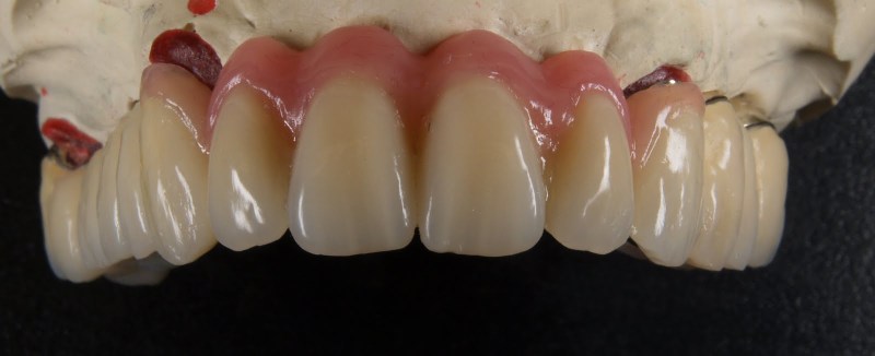
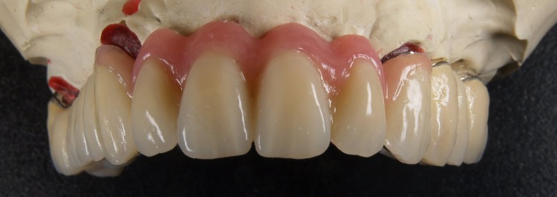
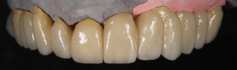
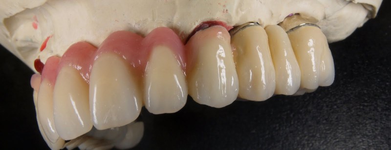
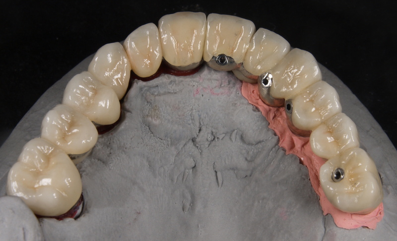
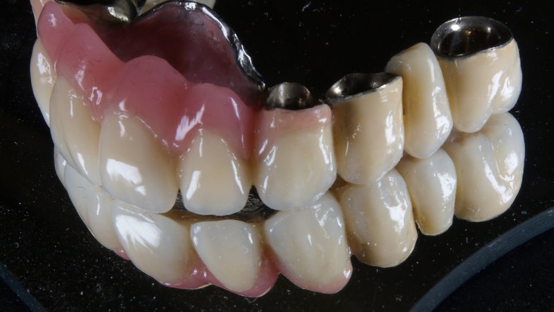
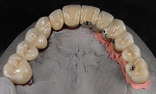
Implantate
Implantat Okklusal verschraubt
Implantatarbeit Zementiert
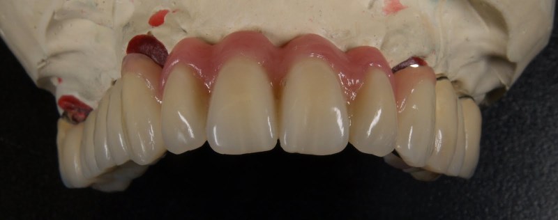
Implantatarbeit
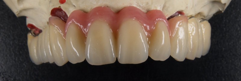
Implantatbrücke NEM
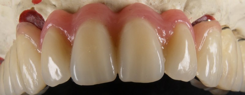
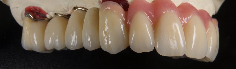
Implantatbrücke
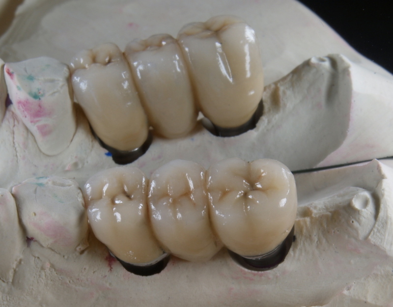
Implantate 1,4 mm Schrauben
Implantate lingual verschraubt
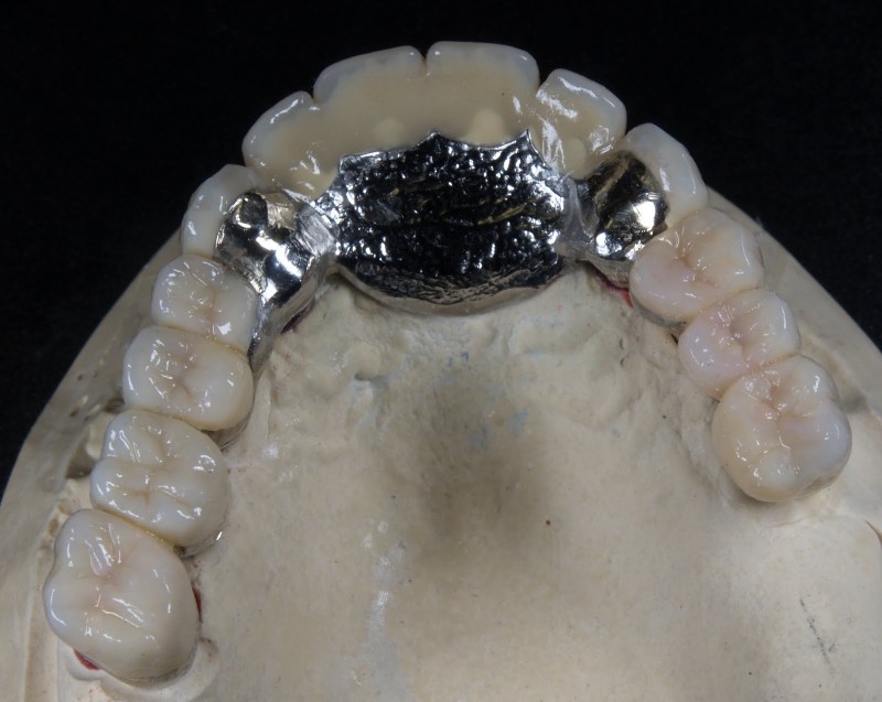
Implantate palatinal verschraubt
Implantate und Teleskope