Zum Hauptinhalt springen

Feinmechanik und Keramik

Fotokurs OMD-EM-5

Fotostudien Fotokurs

Ganzheitlich Zahntechnik

Keine Metalle im Mund

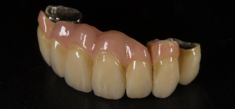
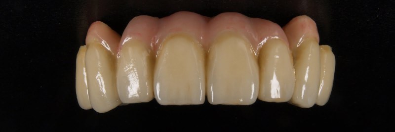
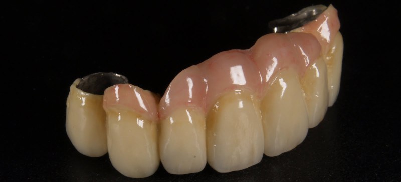
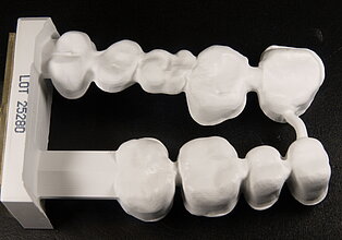
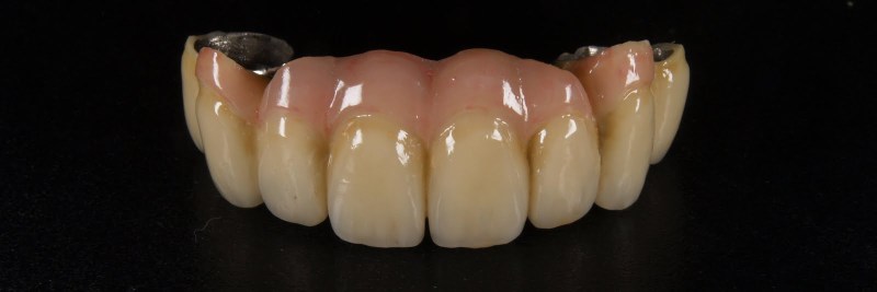
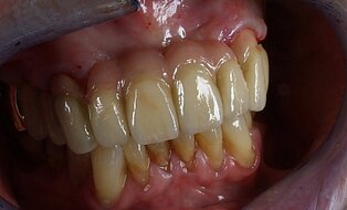
Keramik auf Metall

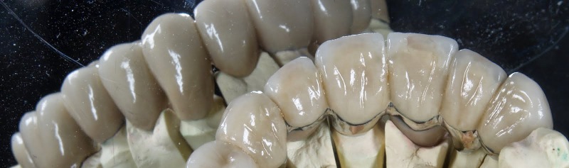
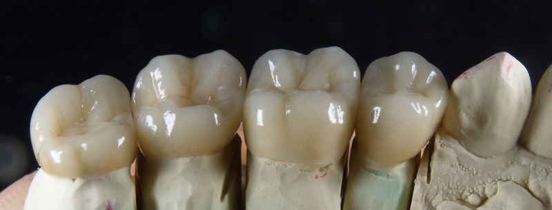
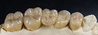
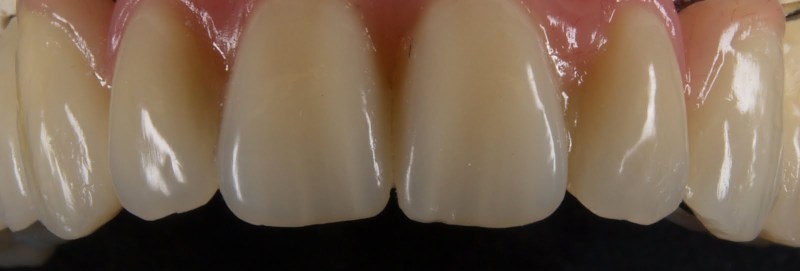
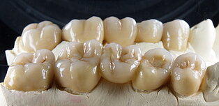
Keramikstufen

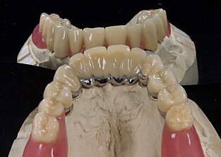
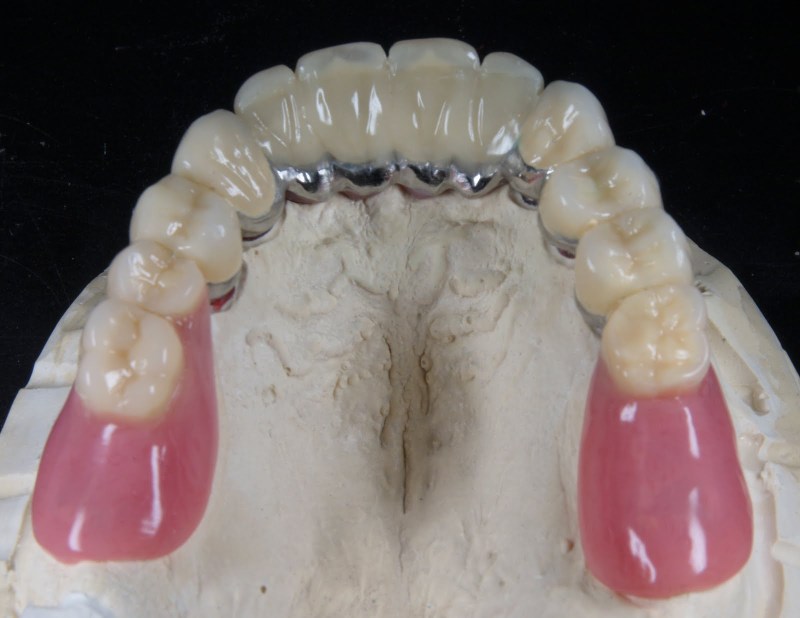
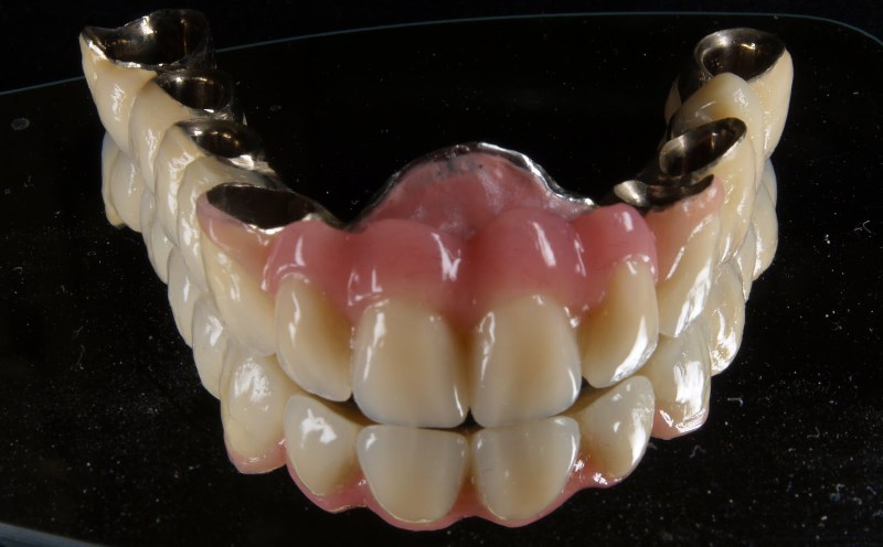
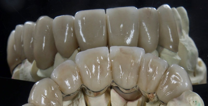
Nichtedelmetal NEM und Keramik

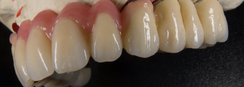
Meisterarbeit von Peter Dengel

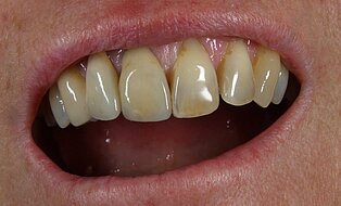
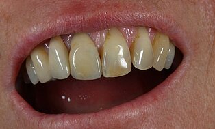
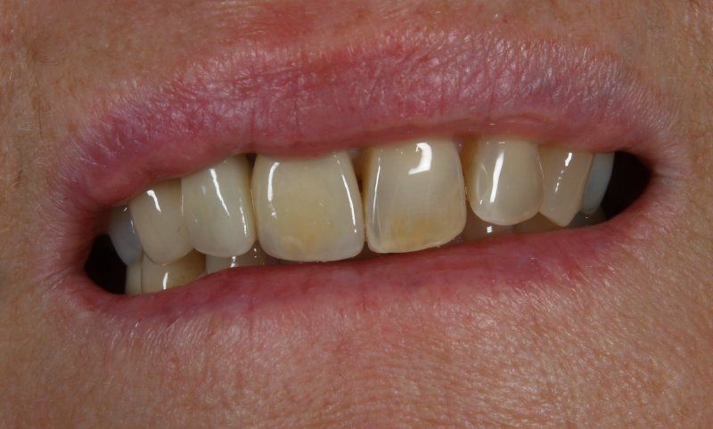
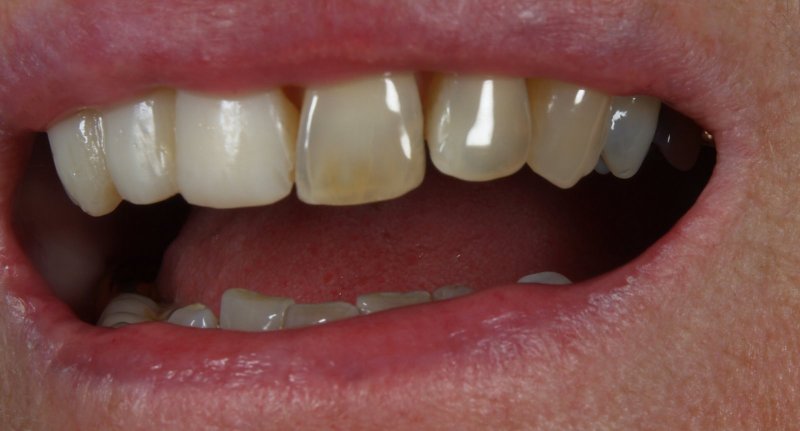
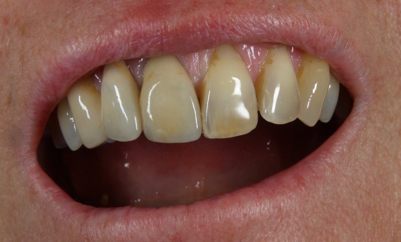
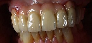
Patientenzufriedenheit

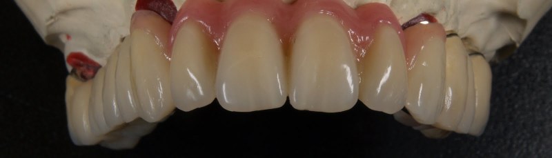
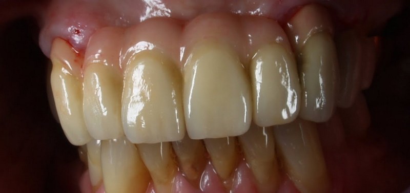
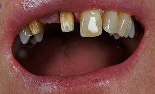
Vom Langzeitprovisorium zur TEK 1 Arbeit