Zum Hauptinhalt springen

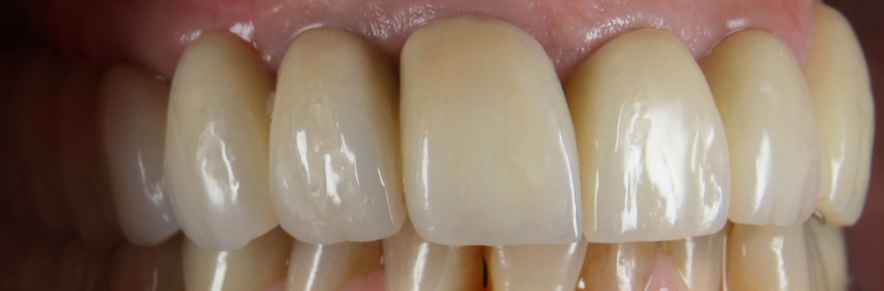
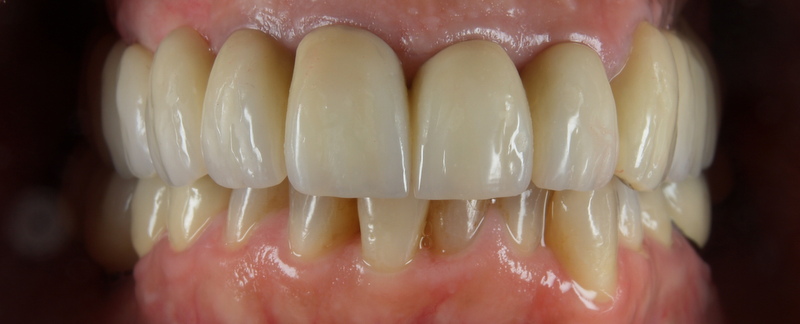
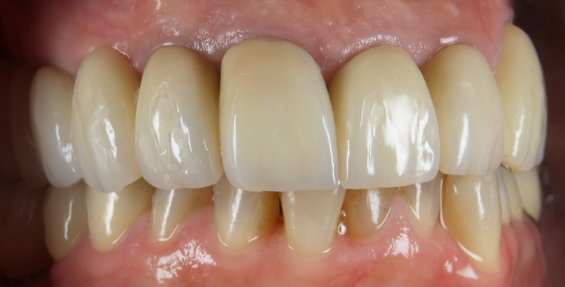
Transversalbügelfrei in Goldreduzierter Legierung